Skip to content

Grand Rounds February 8, 2024

  • by

Nontraumatic Problems of the Foot. Keith Baker, MD

Compartment syndrome-

  • Compartments of foot- 9
  • Signs and symptoms of compartment syndrome- 6 Ps
  • A diagram of a section of a normal syndromeDescription automatically generated

Planter fasciitis

  • Pain under heel
  • Calcaneal spur commonly seen on xray
  • Runners, occupatients with excessive walking standing, obesity
  • Bilateral calcaneus- rheum shit
  • Treatment
  • REST, ICE, PT, Stretching

Heel pad atrophy – obesity proonged activity

Calcaneal bursitis-

  • Typically causes posterior calcaneal burisits- poor fitting shoes/ high heels

-Morton neuroma- bengin- entrapment neuropathy of interdigital nurve, fusiform swelling proximal to bifurcation of nerve

– parestehsia and numbness near the toes

A diagram of a foot with a sore areaDescription automatically generated with medium confidence

  • Treatment –

Forefoot bursitis-

  • 2 most common sites of forefoot bursitis:
    • Dorsla ip joints of toes, navicular tuberosity
  • 3 treatments
    • Rest, ice, nsaids, steroids

Sesamoiditis

  • Typically, first toe
  • A foot with bones and bones highlightedDescription automatically generated with medium confidence

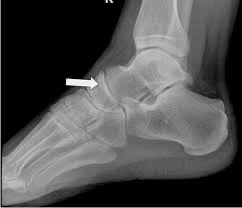
Navicular Osteochondrosis

  • Kohler’s disease
    • Male dominant
    • Age 4-10
    • Navicular bone last to ossify.
    • TX: restricted activities and casting
  • An x-ray of a footDescription automatically generated

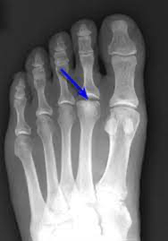
Freiberg Disease

  • Avascular necrosis of metatarsal head, most commonly 2nd toe
  • Commonly in females
  • X-ray of a foot with a blue arrowDescription automatically generated

Entrapment Neuropathies

  • Two entrapment syndromes of the foot
    • Tarsal tunnel syndrome
      • Poster tibial nerve
    • Lateral plantar calcaneal
    • Ski boot compression syndrome
      • Pain dorsum of foot
      • Deep peroneal nerve injured.
    • Sural nerve entrapment
    • Medial plantar nerve entrapment
      • Joggers foot

Diabetic foot ulcers

  • 2% of diabetics annually get a ulcer.
  • If they have neuropathy, then this increases 8% annually
  • Osteomyelitis in a diabetic foot ulcer – 2/3 will get it
  • PO antibiotic regimen for osteomyelitis- clinda, levo, Bactrim, Augmentin
  • IV: ancef, zosyn, vanco

Plantar warts

  • Plantar wart from a corn or callus- black nucleus in the middle

ingrown toenail

  • A close-up of a person's footDescription automatically generated

Hallux valgus

  • Bunion
  • Bursa inflammation is the cause of the pain

9:30) Lower extremity Ortho: Knees to TOES- Patrick Cheatle, MD

  • A diagram of a human bodyDescription automatically generated
  • A diagram of a human kneeDescription automatically generated
  • ACL
    • LACHMAN and ANTERIOR DRAWER TEST
      • Lachman- hold femur and then take tibia and pull anteriorly.
      • Anterior Drawer Test- Knee flexed and pull the tib fib forward after sitting on foot
      • MRI IS GOLD STANDARD
  • A diagram of a knee injuryDescription automatically generated
  • X-ray of a knee jointDescription automatically generated

PCL injury

  • Direct force applied to proximal anterior tibia
  • + posterior drawer sign or posterior sag sign

Meniscus Tear

  • TWISTING
  • + effusion🡪 worse outcome
  • Described as Locking or catching
  • Squatting or pivoting exacerbates the pain
  • A diagram of a person's kneeDescription automatically generated

Patellar dislocation or subluxation

  • Slips laterally
  • Just push it back

A diagram of a human bodyDescription automatically generated

A close-up of a knee jointDescription automatically generated

Quadriceps tendon tear

  • Intense anterior knee pain
  • A close-up of a x-ray of a kneeDescription automatically generated

A x-ray of a human footDescription automatically generated

  • NEED TO CHECK NEUROVASCULAR STATUS WITH THESE PATIENTS

A close-up of a chartDescription automatically generated

Intraarticular knee fractures

  • Commonly involve the lateral plateau
  • Compartment syndrome most common significant short term complication

A diagram of bones showing different types of injuriesDescription automatically generated with medium confidence

A close-up of a syringeDescription automatically generated

A close-up of a chartDescription automatically generated

Anterior Knee

  • Osgood Schlatter’s
  • Hoffa fat pad syndrome
  • Quadriceps and patellar tendinopathy
  • Bursitis

Posterior Knee

  • Popliteal artery aneurysm or entrapment
  • Bakers cyst
  • Popliteus tendinopathy

Medial Knee

  • Degenerative medial meniscal tear
  • Saphenous nerve entrapment

Lateral Knee

  • IT band syndrome and degenerative lateral meniscus tear
    • + nobles compression test

A diagram of a foot and ankle sprainDescription automatically generated A close-up of a footDescription automatically generated A diagram of a footDescription automatically generated

A diagram of a foot and ankleDescription automatically generated

10:15) Ortho Cases. Multiple Faculty

11) EM Case Presentation. Elise Venter, MD

  • Thoracic Aortic Aneurysm
  • A screenshot of a medical chartDescription automatically generated

11:30) TRIAGE. Chiefs

  • Toxicology
  • A screenshot of a cell phoneDescription automatically generated
  • Radiology
  • X-ray of bones and a cupDescription automatically generated
  • Integument
  • A diagram of skin structureDescription automatically generated
  • Radiology
    • A graph of a heart rateDescription automatically generated
    • Cerebral T waves

12) Optional Board Review

Loading...