Collagen Vascular Disease in the ED – Rebecca Jeanmonod, MD
– Collagen is everywhere= anywhere there is connective tissue
– Ehlers Danlos- loose skin, hypermobility,
– Dislocation, organ rupture, vascular rupture
– vascular subtype= bad

– Marfan Syndrome- tall, skinny, long fingers, wingspan relative to height
– aortic root issues
– lenses dislocations
– aortic disasters

-Osteogenesis imperfecta – blue sclarea, bendy, hearing loss, broken bones, valve problems, dissections, fractures in kids
– not all fractures= always child abuse

- Cricoarytenoid arthritis- ra
- Hypokalemic paralysis= Sjogren’s from RTAs
- Catastrophic antiphospholipid syndrome=lupus= clotting everywhere; massive bleeding and clotting
- Subglottic stenosis= Wegner’s
- Renal crisis= scleroderma
- Septic joints= RA
- Alveolar hemorrhage= lupus; Wegener’s
- Vertebrobasilar insufficiency= temporal arteritis
- Transverse myelitis= lupus
- Aa subluxation= RA, ankelosis spondylitis
- Aortitis= temportal arteritis
- Spinal fracgtures= ankylsosis spondylitis
- Vision loss= temporal arteritis
- Tamponade= lupus
- SCORING SYSTEMS DON’T Necessarily WORK on these patients; these populations weren’t included in the study’s aka heart score, perc score, syncope rules, psi, d dimer
- Always should consider it on your differential.
- Weird vascular things = consider it
- Systemic symptoms + organ system issues= consider collagen vascular issues
- Call rheumatology if you have a suspicion.
- Weird vascular things = consider it
9:30) Thyroid Emergencies – Holly Stankewicz, DO
- Thyroid storm: rare life threating
- Hyperthermia, tachy, AMS
- Symptoms: think everything is ramped up + big buggy eyes
- Anything can be a precipitant.
- Workup:
- Tsh low or undetectable
- Free t3/t4 elevated
- Calcium may be elevated
- Hyperglycemia common
- Leukocytosis common
- LFTs may be elevated
- Cortisole level
- EKG
- R/o infection
- Management:
- Fever- don’t aggressively cool this can lead to vasoconstriction.
- Ice packs, cooling blankets
- Tylenol
- Pearl avoid aspirin or NSAIDs because they can displace thyroid hormone
- Dehydration/hypoglycemia
- Fluids
- Cardiac decompensation
- Rate control, inotrops, diuretics as needed
- Agitation
- Benzos
- Ptu = super sick patient
- Blocks t4🡪t3 conversion
- Methimazole-
- Longer half life
- Can’t use in first trimester pregnancy.
- 5 key steps to the management of thyroid storm
- Inhibit hormone synthesis.
- PTU/methimazole
- Blocking of hormone release
- iodine
- Preventing peripheral conversion of T4 to T3
- Steroids
- Blocking peripheral effects of hormone
- propranolol
- Providing supportive care
- ice packs cooling blankets, Tylenol
- Inhibit hormone synthesis.
- Myxedema coma
- Hypothyroidism + mental status change/coma + hypothermia + stressor
- Symptoms: Everything is down + NONpitting edema
- Slow function of multiple organs
- Cold patient= degree of hypothermia proportional to mortality
- Hypotensive, bradycardic, hypoventilation, hypoxia, ams
- T4 levothyroixine first line therapy
- 100-500 mcg followed by 75-100mcg IV
- T3
- 5-20mcg IV
- Hydrocortisone 100mg IV q8hr
- START PRESSORS IN THE HYPOTENSIVE PATIENT



10) Endocrine Cases – multiple faculty:
DKA, Hypercalcemia, Myxedema Coma, Thyroid storm


11) EM Case Presentation – Michael Murphy, DO
– Superglue in the eye
– ways to remove superglue
– antibiotic drops/ointments
– petroleum jelly
– acetone (not for eyes)
– WD40
– Peanut butter
– Oils
– 3% Sodium bicarb
11:30) TRIAGE – Chiefs
- Toxicology
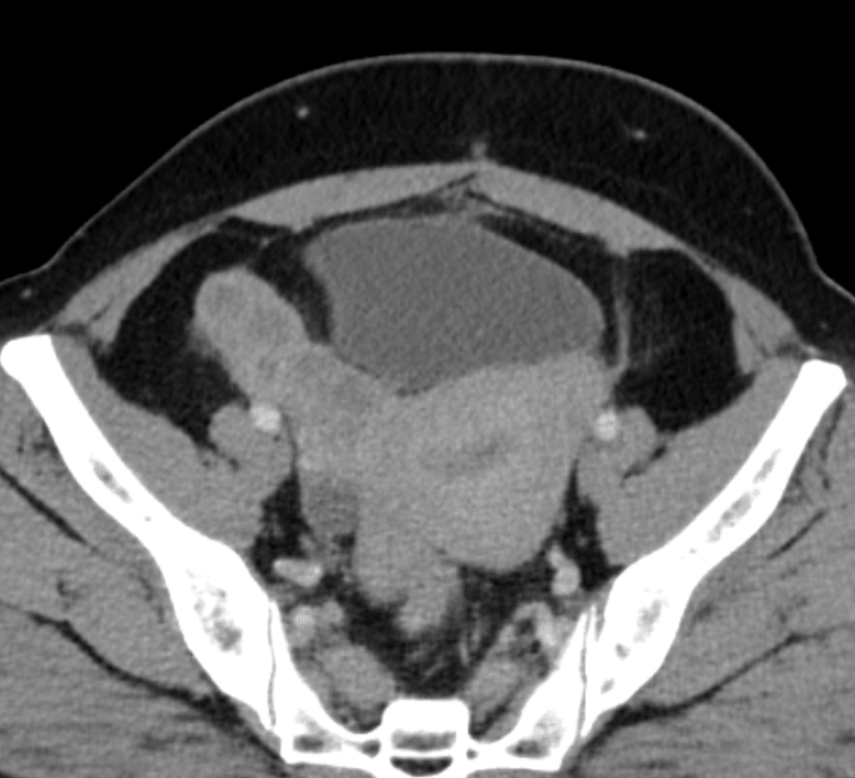
- Radiology: TOA
- Integument
- Ancillary
- General Topic
- Hyperpigmentation, hypotension, AMS, N/V- Addison’s adrenal crisis
- Blunt ocular trauma, hyphemia, decreased VA- Globe rupture

- HTN, HA, Palpitations, Diaphoresis- Pheochromocytoma
- Night blindness and hyperkeratosis- Vitamin A deficiency
- Retrograde amnesia, confabulations, nystagmus, ataxia- B1 thiamine deficiency- WKS
- Vertigo, tinnitus, and hearing loss- Meniere’s Disease
- EKG

November 16, 2023. Lecture Room 2
8) Pediatric Endocrine Lecture – peds TBD
9) How to write and give a lecture – Rebecca Jeanmonod, MD
9:30) Dealing with the difficult patient – Eric Eustice, DO
10) Endocrine Jeopardy – Jason Becker, MD
11) Morbidity & Mortality Conference. David Pronchik, MD
12) EM Case Presentation – Dan Greco, DO
12:30) TRIAGE – chiefs







