Allergic Reactions and Angioedema – Rachel Patterson, MD




9:30-10:15) Sickle Cell, What You Need to Know – Jason Becker, MD
10:15-11) Jeopardy – Patrick Cheatle, MD
11-11:30) EM Case Presentation – Matt Bollard, DO

- Pathophysiology:
- Liver senses insulin not glucose
- No insulin🡪 gluconeogenesis and eventually ketosis
- Causes acid-base disturbances
- Osmotic diuresis= dehydration
- Electrolyte disturbances
- What do you need to do?
- Correct for fluid deficits
- Replace electrolytes- MAINLY K
- Close aniongap to stop further ketone production
- Treat underlying precipitant
- Peds fluids
- Initial bolus = 20cc/kg
- Maintenance- 4 2 1 rule
- 4cckg/hr first 10kg
- 2cc/kg/hr next 10kg
- 1cc/kg/hr every kg after

12-1) Optional Board Review

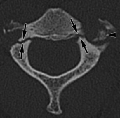
Jefferson fracture- C1 burst fracture
Mechanism: axial load

Hangmans fracture- c2 fracture of pars interarticularis
Hyperextension injury

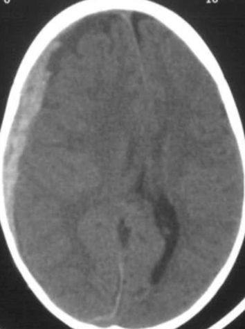
Subdural

Epidural
“lucid interval”
- Most common abd organ injured in ped trauma?
- Penatrating- liver
- Blunt- spleen
- Cause of coma after head injury?- Diffuse axonal injury
- Parkland formula for burns
- 24hr replacement of volume= 4ml/kg/totalBSA burned
- Half over first 8 hours; next over 16 hours
- Human bite bacteria- eikenella corrodens
- Cat bite- pasturella multocida
- Dog bite- capnocytophaga canimorus
- Hemophilia A- lack of factor 8; normal pt and prolonged ptt
- Most common bleeding disorder- vwf; normal platelets but they don’t function well; prolonged bleeding time
- Hemolytic anemia, neurologic changes, fever, aki,thrombocytopenia- TTP
- Central cord- upper extremity weakness and paresthesias> lower extremity- think hyperextension injury
- Anterior cord- loss of moter/pain/temp distal to leasion
- Brown Sequard syndomre- ipsilateral paralysis with loss of position vibration and touch; contralateral loss of pin prick and temp sensation
October 19, 2023. Lecture Room 2
8-9) Charting Review and Updates – Marc Lewbart, DO
9-9:30) 302 & 201, What Emergency Physicians Need to Know– Eric Eustice, DO
9:30-10) Pediatric Mental Health Concerns – Guhan Rammohan, MD
10-11) Cases – Multiple Faculty
11-12) Morbidity & Mortality Conference. David Pronchik, MD
12-12:30) EM Case Presentation – John Bianco, MD
12:30-1) TRIAGE
