302 & 201, What Emergency Physicians Need to Know– Eric Eustice, DO
- 201: Voluntary admission
- Only adult can sign for this
- Minor considered 14 and under
- 302: involuntary
- Threat to self, others, patient refusing to sign 201, severely mentally ill



9:30-10) Mental Health Concerns – Guhan Rammohan, MD
How to work up a psychiatric patient…consider the following
- Point-of-care glucose
- CBC
- Chem 7
- LFTs
- ECG (for toxicology evaluation)
- ASA level
- Tylenol level
- Urine toxicology screen/Blood toxicology screen
- EtOH
- Urine pregnancy/beta-hCG (if female of childbearing age)
- Consider:
- Ammonia (see Hepatic encephalopathy)
- TSH (hypo or hyperthyroidism may mimic mental illness)
- CXR (for Tb screen or rule-out delirium in older patient)
- UA (for rule-out delirium in older patients)
- Head CT (to rule-out ICH in patients with AMS)
- Lumbar puncture (to rule-out meningitis or encephalitis)
General Ed management of psych
- Non-pharmacologic
- Verbal de-escalation
- Offer comforting items: blanket, meal, pillow, etc
- Quiet room
- Physical restraints (should administer medications if restraints used, as decreases restraint time)
- Pharmacologic: Goal is to calm patient without oversedation
- No history of psychosis
- Haloperidol 0.5mg-5mg +/- lorazepam 0.25-2mg (PO/IM/IV)
- Consider adding benztropine 0.5-2mg or diphenhydramine 25-50mg (PO/IV/IM) (reduces dystonia or extrapyramidal reaction)
- Consider risperidone 0.5-2mg PO or olanzapine 2.5-20mg (PO/IM/SL) or ziprasidone 10-20mg IM
- Haloperidol 0.5mg-5mg +/- lorazepam 0.25-2mg (PO/IM/IV)
- Known or suspected underlying psychotic illness
- Continue treatment with previous antipsychotic or
- PO: olanzapine 5-10mg or risperidone 0.5-2mg +/- lorazepam: 0.5-2mg
- IM: olanzapine 2.5-20mg or ziprasidone 10-20mg or
- (PO/IM/IV) Haloperidol 0.5-5mg +/- lorazepam 0.5-2mg
- Consider adding benztropine 0.5-2mg or diphenhydramine 25-50mg (PO/IV/IM) (reduces dystonia or extrapyramidal reaction)
- No history of psychosis
12-12:30) EM Case Presentation – John Bianco, MD

12:30-1:00) TRIAGE
- Toxicology:
- Nicotine ingestions🡪 1mg/kg is toxic to children
- Mimics the effects of ACH
- Nicotine ingestions🡪 1mg/kg is toxic to children
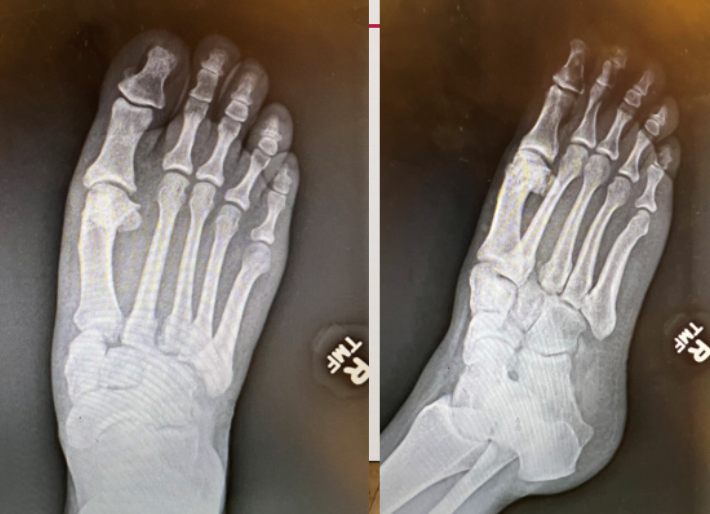
- Radiology: Lisfranc Injuries

- MOI:a xial load on plantar flexed foot or severe twisting action
- Disruption of Lisfranc ligament- consisting of dorsal ligament, interosseus ligament and plantar ligament-🡪 disruption of midfoot
- What to look for on exam?
- Pain and swelling in midfoot
- Ecchymosis to plantar surface ( PATHOGNOMONIC)
- Weight bearing xrays are super helpful
- Integument
- Ancillary



